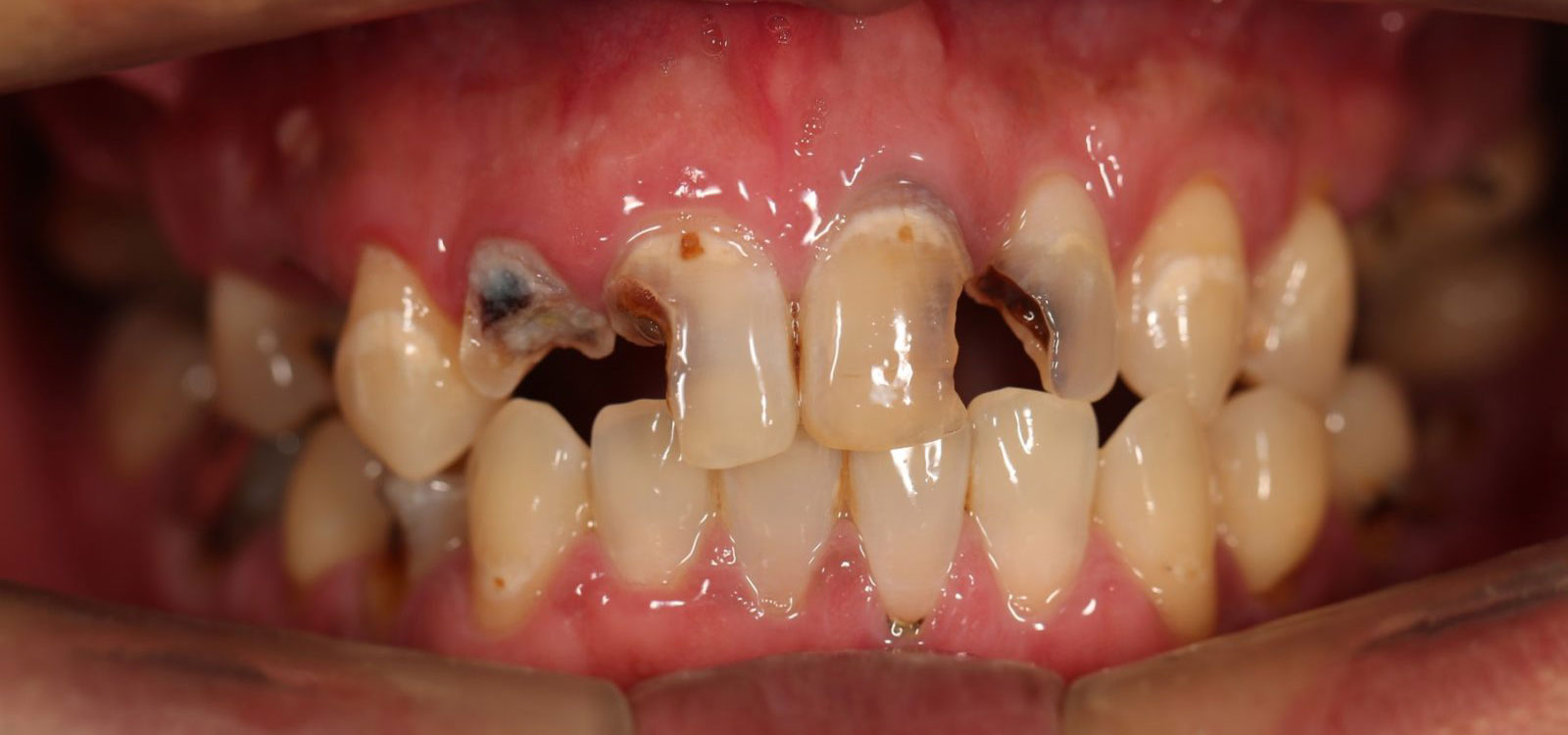
虫歯や歯周病で
「歯がボロボロ」になってしまった方、
諦めないでください
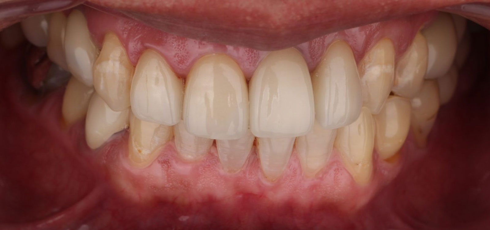
このようなお口もきれいに治せます
一度、当院へご相談ください。
- 歯科医院での治療にトラウマがある方
- 口の中を診られるのが恥ずかしい方
- 治療時の痛みが我慢できない方
- 不要な治療までされそうで不安な方
歯科医院への不安や恐怖心にも配慮しながら、
当院で一緒に治していきましょう



このようなお口もきれいに治せます
一度、当院へご相談ください。
歯科医院への不安や恐怖心にも配慮しながら、
当院で一緒に治していきましょう

歯の状態が悪くなると、見た目だけでなく、毎日の生活にもさまざまな影響が出てきます。
実際に当院でも、次のようなお悩みをご相談いただくことがあります。
「人前で口を開けて笑えない」
「発音がはっきりしない」
「食事を心から楽しめない」
このようなお悩みの背景には、虫歯や歯周病を長期間放置してしまったことが関係しているケースが少なくありません。また、過去に歯科治療でつらい経験をされたことで、歯科医院に通うこと自体が不安になってしまったという方も多くいらっしゃいます。
そのような経験があれば、歯科医院に不信感を持ってしまうのも無理はありません。
当院では、患者さんとの信頼関係を重視し、痛みへの配慮やわかりやすい説明など、歯科医院に苦手意識がある方でも通いやすいよう、さまざまな取り組みを行っています。

歯科治療に対して「痛い」「不快」「恐怖感」というイメージを持っている方は少なくありません。
最近は歯科医療も進歩し、可能な限り痛みを抑えた治療が可能になっています。
患者さんの負担をできるだけ減らすために、ふじた歯科式の「可能な限り痛みを抑えた歯科治療」をご紹介いたします。

まず、注射の前に歯ぐきへ麻酔液を塗ります。これにより針を刺すときの痛みをやわらげます。

蚊に刺されても痛くないように、針が細ければ細いほど、痛みを感じにくくなります。当院では細い針を使い、ソフトに注射することで痛みを抑えます。

急激に麻酔液を注入すると細胞が膨張し痛みの原因となりますので、ゆっくりと時間をかけ麻酔液を注入していくことが大切です。また、可能な限り粘膜を張り、痛みを感じる神経を一定箇所に集中させることで針が神経に触れないような工夫も当院では行っています。

歯を削るときの「キーン」という音や振動が苦手で、歯科治療に不安を感じる方は少なくありません。一般的に歯を削る際に使われる機器(タービン)は高い音が出やすく、苦手意識につながることもあります。
当院では、治療中の「音」にも配慮し、「5倍速コントラ」を使用しています。5倍速コントラは、5倍速で回転することで音や振動を抑えやすいのが特徴です。
また、速い回転で削ることでブレが少なくなり、必要以上に歯を削らないよう配慮しながら処置を進めやすくなります。音や振動が苦手な患者様にも、安心して治療を受けていただけます。

当院では、お口のプロとして患者さんにとって適切な治療法をご提案します。
そのうえで、患者様ファーストを大切にし、十分にご理解・ご納得いただいてから治療を進めています。
まず現在のお口の状態を丁寧に説明します。そのうえで考えられる治療方法をいくつかご提案します。 それぞれのメリット・デメリットもお伝えし、治療方針は患者さんご自身に選んでいただきます。
また、患者さんのご希望に応じて、紙にイラストを描きながらご説明したり、ふじた歯科オリジナルの各種資料を活用したりしながら、分かりやすい説明を心がけています。
疑問や不安があれば、どんな小さなことでも遠慮なくご質問ください。

当院の診療室は、個室・半個室となっており、周囲を気にせず落ち着いた空間で治療を受けていただけます。治療内容など、他の患者様に聞かれたくないことも気軽にお話しいただける環境です。
また、複数の女性ドクターも在籍しておりますので、男性ドクターには話しづらいことがある方はご予約時にご相談ください。

ボロボロの歯の治療では、虫歯や歯周病の治療だけでなく、失った歯をどう補うかまで含めて、お口全体を見ながら進めることが大切です。
実際には、重度の虫歯や歯周病が進行し、抜けてしまっている歯があるケースも少なくありません。そのため当院では、まず残せる歯をできるだけ残すことを大切にしながら、必要に応じてインプラント、ブリッジ、入れ歯などの治療を組み合わせていきます。
こうした治療は、一人の歯科医師だけでは限界があります。当院では、各分野の歯科医師が連携し、どのようなお口の状態にも高品質の治療を提供できる体制を整えています。
歯が大きく崩れてしまった場合でも、お口の状態や残っている歯の状況に応じて、適した治療を行うことで、見た目や噛む機能の回復が期待できます。
ここでは、歯がボロボロの方に検討されることが多い代表的な治療をご紹介します。

失ってしまった歯の部分に人工の歯根を埋め込み、その上に被せ物を装着する治療です。顎の骨に固定されるため、見た目や噛み心地の回復が期待でき、しっかり噛める状態を目指せます。
また、周囲の歯を削る必要がなく、他の歯への負担を抑えやすい点も特徴です。
当院では、日本口腔インプラント学会専修医と麻酔専門医が連携し、事前の診査・診断を行い、安全性に配慮した治療を行っています。治療後のメンテナンスまでサポートしています。

取り外し式の装置で、比較的短期間で治療が行える方法です。外科的処置を伴わないケースが多く、身体への負担を抑えやすいのが特徴です。
入れ歯は「合わない」「噛めない」といったイメージをお持ちの方もいらっしゃいますが、設計や調整によって、しっかり噛めて快適にお使いいただけるケースも多くあります。
当院では、お一人おひとりのお口の状態や生活スタイルに合わせ、違和感の少ない入れ歯づくりを大切にしています。

失った歯の両隣の歯を支えにして人工の歯を固定する治療です。
固定式のため違和感が少なく、比較的スムーズに日常生活へ戻りやすいのが特徴です。
適応には支えとなる歯の状態が重要になるため、事前の診査をもとに慎重に判断しながら治療を進めていきます。

歯がボロボロの状態の場合、インプラントなど外科的な治療が必要になることがあります。その際、「手術が怖い」「できればリラックスした状態で受けたい」と感じる方もいらっしゃいます。
当院では、そのような方のために「静脈内鎮静法」に対応しています。
腕の血管から鎮静薬を投与し、うとうとと眠っているようなリラックス状態で治療を受けていただく方法です。
多くの方が「気づいたら終わっていた」と感じられるほど、負担の少ない治療が可能です。体調や既往歴によって適応が異なるため、事前にしっかりと診査・ご説明を行ったうえでご案内しています。
ボロボロの歯の治療では、お口全体の状態をしっかり把握したうえで進めることが大切です。
当院では、歯科用CTやマイクロスコープなどの精密機器を活用し、お口の状態を詳しく確認しながら治療計画を立てています。骨の状態や神経の位置などを詳しく把握することで、より安全で精密な治療につながります。

歯科用CTは、お口の中を立体的に撮影できる画像診断装置です。骨の厚さや神経・血管の位置など、レントゲンだけでは分かりにくい部分まで把握できるため、より的確な診断と治療計画につながります。

マイクロスコープは、患部を大きく拡大して見ることができる歯科用の顕微鏡です。
肉眼では見えにくい部分まで確認しながら治療を行えるため、より精度の高い処置が可能となり、再治療のリスクを抑えることにもつながります。

歯の状態が悪くなると、見た目だけでなく、食事や会話、気持ちの面にも影響が出ることがあります。歯のことが気になって、人前で話したり笑ったりすることをためらってしまう方も少なくありません。
ですが、歯がボロボロの状態でも、適切な治療によって改善することができます。
「こんなにボロボロでも診てもらえるだろうか」と不安に思われる方もいらっしゃるかもしれませんが、どうかご安心ください。
歯がボロボロの状態で歯科医院へ行くことは、とても勇気がいることだと思います。
しかし当院では、患者さんを責めることはありません。
これまでの経緯も含めてお話を伺いながら、これからどのように治療を進めていくのがよいかを一緒に考えていきます。
歯がボロボロで受診をためらっている方も、どうぞ安心してご来院ください。
当院では、患者様が抱えていらっしゃるお口のお悩みや疑問・不安などにお応えする機会を設けております。どんなことでも構いませんので、私たちにお話しいただけたらと思います。
ご興味がある方は下記からお問い合わせください。
